See for yourself what the Kensington Square Dental team can do for you and your smile. Whether you are interested in teeth whitening, veneers, Invisalign, or other dental procedures, we’d be happy to have you join us in the clinic for a consultation. Together, we can revitalize your smile using advanced, pain-free techniques. Let’s transform your smile and your confidence.
-
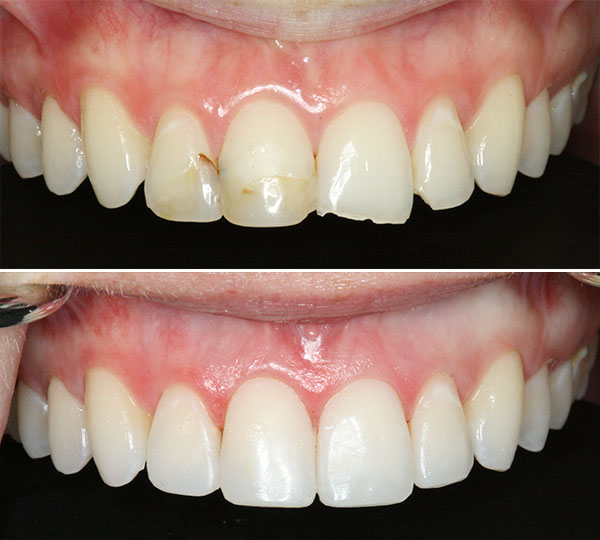
Evan
Veneers
Evan
Results
When restoring teeth damaged by trauma, careful attention is paid to the shape, contour, texture and shade in order to provide restorations that are often indistinguishable from natural teeth. Look closely at the edges and corners to see how the hand sculpting and custom characterizing allows the restorations to blend in seamlessly with the adjacent natural teeth.
-
Georgina
Crown
Georgina
Results
Smile design is more than just looking at teeth. It’s about looking at all the features of the face and how they come together to allow for the most natural looking, beautiful smile. There is no such thing as a perfect smile, but we truly believe there is a perfect smile for you.
-
Clark
Dental Implants
Clark
Results
Dental implants look and feel like your natural teeth. They are durable, comfortable, and can last as long as a natural tooth in your mouth. Whenever possible, we utilize customized surgical techniques to achieve functional and healthy-looking smiles. It’s amazing to see the transformation in patients when they can eat all the foods they want to with no discomfort.
-
Mavis
Laser Gum Therapy
Mavis
Results
When providing cosmetic dentistry, it is imperative to build a smile that complements your facial features. Laser gum therapy is a minimally invasive technique that can often be used to correct a “short teeth look” or a “Gummy smile”. Even minor corrections to the gum line can dramatically enhance tooth shape and symmetry allowing for a more natural, beautiful broad smile.
-
Kevin
Crowns
Kevin
Results
Porcelain crowns can be a great choice for restoring worn and chipped teeth from grinding. Utilizing CEREC Technology, multiple esthetic restorations can be completed in a single seating without the need for messy impressions and additional appointments requiring anesthetic.
-
Brielle
Veneers
Brielle
Results
Composite restorations can be a quick, economical, and aesthetic solution to old, worn, chipped and tired looking restorations. Symmetry is an attractive feature to the human eye—check out how the new hand sculpted composite restorations add symmetry and vitality, resulting in a smile that looks natural and vibrant.







