See for yourself what the Kensington Square Dental team can do for you and your smile. Whether you are interested in teeth whitening, veneers, Invisalign, or other dental procedures, we’d be happy to have you join us in the clinic for a consultation. Together, we can revitalize your smile using advanced, pain-free techniques. Let’s transform your smile and your confidence.
-
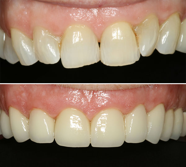
Riana
Veneers
Riana
Results
Lateral incisors (the two teeth beside your front teeth) sometimes don’t develop correctly and can appear smaller, discoloured and/or cone shaped. Lateral incisors play a HUGE role in the appearance of your smile. Often our team can treat them with ultra-thin, high strength, hand sculpted veneers to give you an aesthetically pleasing smile.
-
Patrick
Crowns
Patrick
Results
It is scientifically proven that a smile is the number one feature in physical attractiveness. As one ages, teeth inevitably become worn, cracked, stained and tired looking. Porcelain hand sculpted crowns and veneers can be used to provide a more youthful, healthy, natural looking smile.
-
Michael
Crown
Michael
Results
Sports-related tooth injuries are a commonly encountered issue at Kensignton. Immediate evaluation with the aid of 3D CAT scan technology and proper management can often allow us to save and restore the tooth, even one that has been dislodged completely out of the mouth! Would you be able to spot the restored tooth?
-
Lynn
Veneers
Lynn
Results
The latest porcelain veneers can be extremely thin but yet extremely strong. They can be used for a variety of purposes such as smile makeovers, concealing discolouration or correcting alignment. They can make a dramatic difference to your smile at virtually any age.
-
Helen
Dental Implants
Helen
Results
Missing teeth can affect your overall health and well being. Restoring and replacing teeth with dental implants not only allows you to enjoy delicious foods comfortably but allows you to look and feel great!
-
Lindsay
Crown
Lindsay
Results
The single front tooth is the most challenging restoration to provide in all of cosmetic dentistry. Hand layering, custom shading, microscopic sculpting and meticulous attention to elements such as texture and contour can often allow us to achieve composite restorations with aesthetic results equal to that of porcelain. I love doing these small restorations because they are so appreciated by our patients and I really get to bring out my artistic side.







