See for yourself what the Kensington Square Dental team can do for you and your smile. Whether you are interested in teeth whitening, veneers, Invisalign, or other dental procedures, we’d be happy to have you join us in the clinic for a consultation. Together, we can revitalize your smile using advanced, pain-free techniques. Let’s transform your smile and your confidence.
-
Elijah
Dental Implants
Elijah
Results
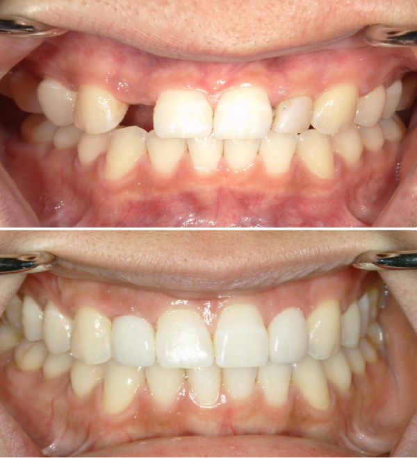
Elijah came to our Burnaby dental clinic with a unique challenge. He was born without his two upper side teeth—the lateral incisors next to his front teeth. These are among the most commonly missing teeth, and over time, the spaces had caused the surrounding gum and bone to shrink. That made replacement more complex because there wasn’t enough healthy tissue to support new teeth.
Before we could place dental implants, we needed to rebuild the foundation. Our first step was to carefully graft bone and gum tissue to recreate natural contours. This process restored both the volume and shape of Elijah’s gums, ensuring the new teeth would blend in perfectly with his natural smile. Every detail mattered—from the height of the gumline to the subtle curves that make a smile look balanced and real.
Once the foundation healed, we placed two dental implants in the spaces where the missing teeth had been. Custom crowns were then crafted to match Elijah’s natural teeth in shade, shape, and texture—even down to the way the surface reflects light. The goal was to create a smile that looked like it had always been complete, without any visible signs of restoration.
The transformation is remarkable. Elijah’s new smile looks healthy, symmetrical, and natural—complementing his face perfectly. It’s a great example of how detailed planning and artistry come together to make dental implants look and feel like real teeth.
If you are considering dental implants in Burnaby, BC, our experienced team can help you rebuild your smile with lasting, natural-looking results.
-
Shirene
Dental Implants
Shirene
Results
Shirene came to our Burnaby dental clinic with a unique challenge. They were born without one of their upper side teeth—the lateral incisor next to their front tooth. This is one of the most commonly missing teeth, and because it had been gone for many years, the gum in that area had shrunk. Without rebuilding the foundation first, any replacement would risk looking too long or uneven.
At the same time, Shirene’s other side tooth—the matching lateral—was naturally misshapen, often referred to as a “peg lateral.” Years ago, it had been built up with composite material, but over time that bonding stained, wore down, and no longer blended with the rest of their smile. To create symmetry, we restored this tooth with a custom crown designed to mirror the replacement on the opposite side.
Treatment began with rebuilding the foundation. We grafted bone and reshaped the gums to create the right contours and support for a future implant. Gum contouring was also done to ensure both sides aligned harmoniously. Once the tissue and bone healed, we placed a dental implant in the space where the missing tooth had been and crafted a crown for the other lateral. Every detail—from the shade to the shape and proportion—was carefully designed so both teeth would look completely natural.
The result is stunning. Shirene’s new smile is balanced, radiant, and entirely their own. It shows the level of precision required to make teeth not only look straight and white, but also truly fit a person’s face. There’s no one “perfect” smile, but there is a smile that’s perfect for each individual. For Shirene, this transformation was both aesthetic and emotional—giving them confidence in teeth that now look and feel like they’ve always belonged.
If you’re considering dental implants in Burnaby, BC, our team can help restore your smile with precision and artistry.
-
Trish
Veneers
Trish
Results
Attractive, healthy teeth help us to look and feel our very best. Over time crowns and veneers can fail from decay and wear, eventually requiring replacement. With the latest techniques and modern materials, we can fabricate and place restorations that are often indistinguishable from the look and feel of natural teeth. Notice the highly aesthetic and exceptional life-like appearance of the new veneers made from next-generation ceramic.
-
Steven
Veneers
Steven
Results
We are located close to several Burnaby skating rinks and 8-rinks complex, so hockey related tooth injuries are commonly treated by our team on a year-round basis. Most of the time, we can replace and repair teeth in a single appointment (or at least temporarily) and get players back on the ice with all their teeth! Often the resulting smile can be even nicer than before the injury (note the closed gap between the two front teeth).
-
Steve
Veneers
Steve
Results
Veneers can be a great choice for restoring old, worn, discoloured, failing restorations. In many instances they can be placed with minimally invasive techniques requiring little to no tooth reduction. Often the results can be dramatic. Check out how they can really brighten and bring back the vitality of a smile.
-
Ron
Crowns
Ron
Results
Crowns can be utilized to repair cavities, chips, cracks and broken teeth and restore lost function. Crowns can also be used to close spaces and change the angle, shape, colour and contour of teeth. By utilizing crowns, we can concurrently achieve both a functional and natural looking smile.







